安化县人民医院胸外科成功开展单操作孔胸腔镜下肺癌根治术!

发布日期:2021-05-13 10:51:59 浏览量:
字号调整:
分享

附件下载

及时多勉励,岁月不待人;其心至诚,勇者奋进。月缺不改光,剑折不改刚;其志弥坚,信者自强!

2021年,“十四五”规划开局之年,安化县人民医院胸外科捷报频传!继独立开展首例支气管袖状肺叶切除术后,安化县首例胸腔镜下肺癌根治术再获成功!填补我县医疗领域空白,在全省县级医院中走在前列。

病例汇报:

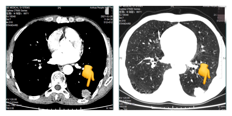
  患者吴**,男, 67岁。因“发现左下肺结节15天”于 2021年04月01日入院。我院3月26日胸部CT平扫三维成像加增强:1.左肺下叶后基底段占位性病变,考虑周围型肺癌可能性大。我院3月26日肺穿刺取组织送检病理结果示:恶性肿瘤。

  患者左下肺恶性肿瘤手术指征明确,完善各项术前准备,于2021年4月9日在双腔气管插管全麻下行胸腔镜探查+胸腔粘连松解+解剖性左肺下叶切除术+系统性纵隔淋巴结清扫+左上肺修补+左喉返神经探查+左胸腔闭式引流术。手术组医师:夏拥军主任医师、王亮主治医师、陶团云副主任医师。术中解剖肺门,逐一处理左下肺静脉、肺动脉及左下肺支气管,完整切除左下肺叶。系统性清扫第5、6、7、8、9、10、11组淋巴结。

  术中剪影:


手术过程顺利,历时3小时余,出血量约20ml,术后顺利拔除气管插管,安返普通病房。予以常规输氧、心电监护,积极抗感染、化痰、补液等处理,术后6小时即嘱患者饮水、进食。术后24小时拔除导尿管,撤除心电监护,协助下床活动。术后5天复查CT,提示余肺复张良好,无明显胸腔积液。切口如期拆线,顺利出院。

术后影像

出院啦!

病例总结:

近年来,胸外科发展日新月异,微创胸腔镜手术已成为行业主流,此病人成功行胸腔镜下肺癌根治术,手术创伤小、出血量少,术中视野开阔,解剖结构清晰,操作更精细便捷。同时避免了传统开胸手术断肋、切肋或强行扩肋所带来的术后肋间神经痛等后遗症的发生。配合术后快速康复理念,术后1周左右即可康复出院。相比传统手术有着无可比拟的优势。

道虽迩,不行不至,事虽小,不为不成。胸外科手术素以“高难度”“高风险”著称,我们深知成长的过程必然会经历挫折。我们不好高骛远,亦不妄自菲薄;我们将脚踏实地、精益求精,同时我们相信,医者的初心和使命定能指引我们攻坚克难、走向成功。流年笑掷,未来可期!

学科介绍:

我院胸外科隶属十一病区(肝胆外科),随着我院成功创建三级综合医院,胸外科建设得到了医院及科室的大力支持与关注,科学布局学科发展,着力学科专业技术人员培养,科室夏拥军主任医师于北京中日友好医院进修,王亮主治医师于湘雅二医院进修。目前胸外科已开展手术有:胸外伤肋骨复位内固定、开胸探查、胸腔镜探查、腔镜下肺楔形切除术、腔镜下肺叶切除术、腔镜下肺癌根治术、腔镜下纵膈肿瘤切除术、腔镜下食管贲门部粘膜外肌层切开术、食管癌根治术(开胸)等。下一步将持续推进学科建设,完成胸外科手术由传统开胸到微创腔镜的跨越。同时,着力开展基层肺结节筛查等公益项目,真正做到服务大众,造福人民!

 

 

        图文:王  

        审核:夏拥军


图片描述
相关推荐
    暂无相关的资讯...
快速导航